U našoj ordinaciji, pacijentima nudimo vrhinsku uslugu iz oblasti lečenja i plombiranja zuba.
Upotreba savremenih nanohibridnih kompozita renomiranih svetskih proizvođača omugućuje izradu plombi vrhuskog kvaltiteta i estetike.
Rekonstrukcijom zuba po boji, obliku i veličini plombe izgledaju potpuno prirodno i traju dugi niz godina.
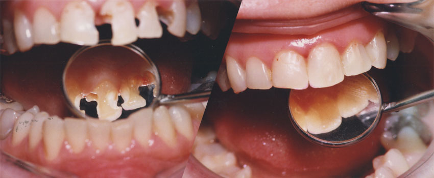
Lečenje zuba podrazumeva postupak uklanjanja nerva iz samog zuba. Naš tim se edukavao iz oblasti savremenih principa endodontske terapije i mašinske endodoncije kako bi svojim pacijetima ponudili najkvalitetnije usluge iz navedene oblasti.
Znanje i aparatura koju posedujemo omugućuje nam da obradu kanala korena zuba sprovodimo uoptrebom mašinskih rotirajućih instrumenata (ProtaperNext), irigansa propisanih od strane evropske asocijacije endodonata i savremnih tehnika punjenja kanala korena. Na taj način zubi su besprekorno izlečeni i traju dug vremenski period.











